Το καλάθι σου είναι άδειο.
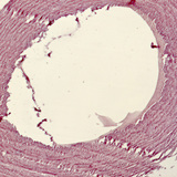
Λείοι μύες και ενδοθηλιακά κύτταρα σε αορτή περιστεριού
Λείοι μύες και ενδοθηλιακά κύτταρα σε αορτή περιστεριού
50x zoom
Βιολογία
1024x683 / 469 kB
Λέξεις/κλειδιά
mozaLink
/Σύνδεσμος Web
50x zoom
Βιολογία
1024x683 / 469 kB
Λέξεις/κλειδιά
mozaLink
/Σύνδεσμος Web